Dental Implants in Fremont
A dental implant is a titanium post or screw that is surgically placed into the jawbone to act as a replacement for a tooth’s root. If you’re missing teeth, our dentist can help restore your smile with personalized dental implant solutions in Fremont, designed to last a lifetime. At Fremont Star Dental, we provide complete dental implant solutions under one roof, from diagnosis to surgical placement to final restoration, making us a trusted destination for dental implants in Fremont, CA.

From 3D imaging to implant placement — get everything done under one
roof at
Star Dental, Fremont. Book your consultation today before spots fill up!

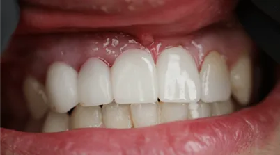
Thousands of Successful Implants. Visible Results.
Real patient transformations backed by experience, precision, and implant-focused care.






What Is a Dental Implant?
A dental implant is an artificial tooth root made of titanium that is placed into the jaw to hold a replacement tooth or bridge. A dental
implant may be an option for people who have lost a tooth or teeth due to periodontal disease, injury, or a naturally missing tooth. The
implant is permanent in nature and eventually integrates with the jawbone. A crown or cap is placed on top of it to create a complete
tooth structure to replace the natural one. Dental implants are as stable as your real teeth and protect you from the loss of jawbone, which
occurs when you lose teeth. Many patients also choose to complement their implant restorations with treatments from our cosmetic dentist in Fremont to enhance the overall appearance of their smile. If you’re searching for dental implants near Fremont, our Fremont dental implant center provides advanced care, precision placement, and lasting results. Patients missing several teeth can also explore dental implants for missing teeth for full-function restoration.
How Do Dental Implants Work?
The dental implant work process involves placing a small titanium post into the jawbone where the missing tooth once was. Over time, the bone naturally fuses with the implant through a process called osseointegration, creating a strong and stable foundation for the artificial tooth. In some cases, preparatory procedures such as tooth extraction may be required before implant placement to remove damaged or decayed teeth safely. Once healing is complete, an abutment is attached to the implant, followed by a custom-made crown that looks and functions like a natural tooth.
Dental Implant Solutions We Offer in Fremont
Advantages of Dental Implants
Dental implants in Fremont, CA, are one of the most efficient and reliable solutions for replacing one or more missing teeth. They provide a strong foundation for fixed (permanent) teeth that are made to match your natural smile. Additionally, dental implants stimulate and maintain the jawbone, preventing bone loss and helping preserve facial structure.
There are many advantages to choosing quality dental implants, including:
- Improved appearance: Dental implants look and feel like your own teeth. And because they are designed to fuse with bone, they become permanent.
- Improved speech: Poor-fitting dentures can slip within the mouth, causing mumbling or slurred words. Implants allow clear speech without worry.
- Improved comfort: Since they become part of you, implants eliminate the discomfort associated with removable dentures.
- Easier eating: Sliding dentures can make chewing difficult. Dental implants function like your natural teeth, letting you enjoy your favorite foods with confidence and without pain.
- Improved self-esteem: They restore your smile and boost your confidence.
- Improved oral health: Dental implants don't require reducing other teeth, as a tooth-supported bridge does. Because nearby teeth are not altered to support the implant, more of your own teeth are left intact, improving long-term oral health. Individual implants also allow easier access between teeth, improving oral hygiene.
- Durability: Implants are very durable and will last many years. With good care, many implants last a lifetime.
- Convenience: Removable dentures are just that; removable. Dental implants eliminate the embarrassing inconvenience of removing dentures, as well as the need for messy adhesives to keep them in place.
To ensure long-term implant success, we recommend regular checkups with our preventative dentist in Fremont for professional cleanings and ongoing maintenance.
Why Choose Fremont Star Dental for Dental Implants?
What makes our dental implant center in Fremont stand out:
- Implant-focused care with over 15,000 implants placed
- All implant procedures performed in-house
- Advanced 3D imaging and computer-guided surgery
- Comprehensive care from extraction to permanent teeth
- Experienced implant specialist overseeing every case
- Transparent pricing and financing options available
Patients seeking permanent teeth, full-mouth dental implants, or same-day implant solutions choose Fremont Star Dental for precision, experience, and results.
Cost of Dental Implant Treatment in Fremont
The cost of Fremont dental implants varies depending on a number of factors - including, of course, the number of missing teeth, and the type of replacement teeth held by the implant. Also, the cost factor goes up if a particular case is more complicated and requires additional procedures like bone grafting to administer the implant successfully. For example, in case of severe bone loss, a bone grafting procedure may be necessary before an implant can be placed successfully.
Factors that can have a direct impact on the cost of treatment include:
- Extent of treatment
- Materials of dental prosthetics used
- Types of dental prosthetics used
- Number of teeth being treated
- Bone grafting (some cases)
Most patients now prefer to get dental implants for their numerous advantages. The overall cost of a single tooth implant (all inclusive, placement, abutment + crown) is therefore between US$4,500 – $6,500. At Dr. Uma Patel DDS, all procedures are performed in-office with high precision and care.
If you’re exploring tooth replacement options and need guidance, our orthodontist in Fremont can also evaluate bite alignment to ensure your implants integrate properly with your natural teeth. For patients missing all teeth, full mouth dental implants provide a complete, permanent restoration.
Special Offers
Single Tooth Implant Surgery + Abutment + Crown :
$3799*
*Price is for patients without insurance, call office for more details.
Single Tooth Implant Surgery :
$1950*
*Price is for patients without insurance, call office for more details.
Implant Crown & Abutment
$1849*
*Price is for patients without insurance, call office for more details.
- A portion of this cost may be covered by your dental insurance
- Please call our office for FREE Consultation & more details at 510-797-4900
- 0% interest financing plans available
Who Is a Good Candidate for Dental Implants?
Most healthy adults who are missing teeth can get dental implants in Fremont, CA. The best candidates should have healthy gums, a jawbone that is strong enough to support the implant, and good oral hygiene in general. People who smoke, have uncontrolled diabetes, or have lost a lot of bone may need more tests or treatments before surgery, such as bone grafting. At Star Dental, your Fremont implant dentistry center, we carefully check every patient to see if they qualify and to make sure the implants have the best chance of working. Those who have lost just one tooth may also be ideal candidates for a single tooth implant for a natural, lasting solution.
About Dr. Uma Patel, DDS
Dr. Uma Patel, DDS, leads our Fremont dental implant center with extensive experience and a patient-centered approach. A certified specialist in implant dentistry, Dr. Patel has completed advanced training under renowned implant experts from around the world. Her expertise ensures each patient receives precise, personalized care using the latest dental technologies. She is known for her compassionate nature, gentle touch, and dedication to restoring confident smiles that last a lifetime.
What Is Dental Implant Treatment Like in Fremont?
The dental implant work is a team effort between you and your dentist. Depending on your specific condition and the type of implant chosen, your dentist will create a treatment plan tailored to meet your needs.
- Replacing a Single Tooth: If you are missing a single tooth, one implant and a crown can replace it.
- Replacing Several Teeth: If you are missing several teeth, implant-supported bridges can replace them.
- Replacing All of Your Teeth: If you are missing all of your teeth, an implant-supported full bridge or full denture can replace them.
- Sinus Augmentation: A key to implant success is the quantity and quality of the bone where the implant is to be placed. The upper back jaw has traditionally been one of the most difficult areas to successfully place dental implants due to insufficient bone quantity and quality and the close proximity to the sinus. Sinus augmentation can help correct this problem by raising the sinus floor and developing bone for the placement of dental implants.
- Ridge Modification: Deformities in the upper or lower jaw can leave you with inadequate bone in which to place dental implants. To correct the problem, the gum is lifted away from the ridge to expose the bony defect. The defect is then filled with bone or bone substitute to build up the ridge. Ridge modification has been shown to greatly improve appearance and increase your chances of successful implants that can last for years to come.
If you experience discomfort, infection, or sudden pain during or after treatment, our emergency dentist in Fremont is available for prompt care and assistance. For children or teens with missing teeth due to injury or congenital absence, our pediatric dentist provides early assessment and coordination for future implant planning.
Surgical Advancements for Dental Implants
At our center for implant dentistry in Fremont, we are committed to providing state-of-the-art technology that enhances comfort, accuracy, and results. Modern advancements have transformed dental implant surgery into a faster, more predictable, and minimally invasive procedure.
- 3D Cone Beam CT Scanning: Enables detailed imaging for precise implant placement and reduced surgical risks.
- Computer-Guided Implant Surgery: Allows our dentist to plan exact implant angles and depths for a better fit and long-term success.
- Laser-Assisted Surgery: Minimizes bleeding, swelling, and post-operative discomfort while speeding up healing time.
These innovations ensure that your dental implant experience in Fremont is efficient, comfortable, and delivers exceptional aesthetic and functional results.
Smiles That Speak For Themselves
Here’s what they have to say about their experiences at Fremont Star Dental!
Special Offers
- Single Tooth Implant Surgery + Abutment + Crown : $3799*
- Single Tooth Implant Surgery : $1950*
- Implant Crown & Abutment : $1849*Your perfect smile is just an appointment away.

Explore Dental Implant Services in Fremont, CA
Browse All Services
Provide a fixed, full-arch solution using 4 to 6 implants, restoring your smile and bite in one comprehensive procedure.

Can be restored with implant-supported bridges, offering a stable and natural-looking alternative to removable dentures.

Replaces one missing tooth with a durable implant and crown, blending seamlessly with your natural teeth for a lasting solution.

Severely damaged teeth may need extraction, done gently to relieve discomfort and prepare for treatments like implants.

Rebuilds jawbone volume to support dental implants, especially when bone loss has occurred due to tooth loss or infection.

A procedure that adds bone below the sinus to create enough height for secure implant placement in the upper jaw.

If you're missing teeth, you're likely asking: Which is better—dental implants or dentures?

Tooth loss can change how you eat, speak, and smile. But it doesn’t have to be permanent.

Tooth pain? Infection? Crowding? Sometimes the best way forward starts with saying goodbye to a problem tooth the painless way.

Frequently Asked Questions
Dental implants are permanent tooth replacements placed into the jawbone. Fremont Star Dental provides implant consultations, placements, and restorations.
Most healthy adults with missing teeth and sufficient bone structure qualify. Fremont Star Dental will assess your oral health during a consultation.
The process typically takes a few months, allowing time for the implant to integrate with the bone before placing the final crown or restoration.
The procedure isn’t painful due to anesthesia. Mild soreness afterward is normal and easily managed.
You can use dental implants to replace one tooth, several teeth, or even a whole set of teeth. Your dentist will tell you how many implants you need based on your specific situation and the type of restoration they recommend, such as a crown, bridge, or full denture.
Implants may cost more at first than traditional options like dentures or bridges, but they last longer and are a better value. With the right care, implants can last for decades or even a lifetime, making them the most cost-effective option in the long run.
Yes, dental implants are safe and have been studied a lot. They are made of biocompatible titanium, which means they fit in with your jawbone naturally. Implants can last for 20 years or more with regular brushing, flossing, and visits to the dentist. Some last for life.
Our Location
Get top-quality dental care in Fremont, CA—book an appointment
with our experienced dentists at Fremont Star Dental today!
Book Appointment
to provide the highest standard of care.
